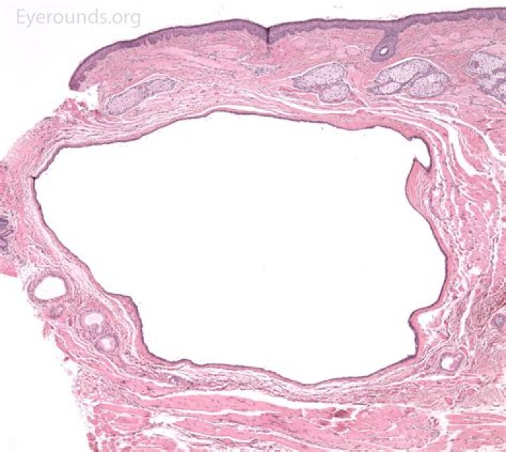
Score: 4.2/5 (16 votes) Apocrine hidrocystoma is a rare benign cystic tumor of the apocrine sweat glands. It most commonly presents as a solitary, asympt...
Score: 4.4/5 (65 votes) The moth emerges in spring and is active at night. It lays round, pale yellow eggs on the upper and lower surface of the leaves. ...
Score: 4.5/5 (39 votes) “Can you get sick from being cold? Yes, but not in terms of a cold or the flu. This comes from frostbite and/or even hypothermia....
Score: 4.9/5 (49 votes) Yes, haha is in the scrabble dictionary. Is Hehe a scrabble word? No, hehe is not in the scrabble dictionary.Is Aye a scrabble wo...
Score: 4.4/5 (7 votes) Kurt Geiger is a luxury British footwear and accessories retailer. Kurt Geiger has over 70 stores, and over 170 concessions within...
Score: 4.8/5 (51 votes) Speyer is only an hour away from the dreamy city of Heidelberg and makes for a great day trip. From architectural gems and beauti...
Score: 5/5 (11 votes) Son River. Son River is largest of southern tributaries of Ganga that originates near Amarkantak in Madhya Pradesh near the source ...
Score: 5/5 (71 votes) Most prisoners were so ill that the Japanese initially intended to let them starve to death forcing many to scavenge in the surroun...
Score: 4.6/5 (75 votes) Brandon broke up with Talya after figuring out she was doing things like reading Callie's journal and thinking he has feelin...
Score: 4.3/5 (70 votes) Varian. Varian is a young fourteen year old alchemist who lives in Old Corona with his father Quirin. How old is Cassandra tangle...